Najlepszy domowy sposób na usuwanie kamienia z zębów. Wymyślił go dentysta
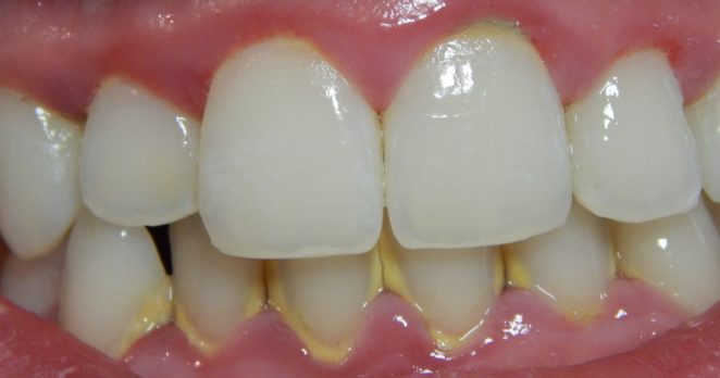
Zęby to jedna z głównych wizytówek naszego wyglądu. Śnieżnobiały, piękny uśmiech to coś, o czym marzy większość z nas. Niestety, na drodze do jego uzyskania stoi mnóstwo przeszkód – jedzenie słodyczy, picie kawy, palenie papierosów czy chociażby kamień nazębny, który wpływa na ich wygląd, a przede wszystkim zdrowie. Czy jedynym sposobem na pozbycie się tego problemu jest wizyta u stomatologa? Okazuje się, że NIE! Oto rozwiązanie, dzięki któremu pozbędziesz się kamienia bez wychodzenia z domu i wydawania niemałej sumy pieniędzy. Co najważniejsze, wymyślił go dentysta!
Wszystko czego potrzebujesz to:
- 1 łyżka sody oczyszczonej
- 1 łyżeczka soli
- 1/2 filiżanki wody utlenionej (1-3%)
- 1 filiżanka zimnej wody
- wykałaczka
- szczoteczka do zębów

Zastosowanie
- Wymieszaj sól i sodę oczyszczoną w jednym pojemniku
- Przepłucz włosie szczoteczki ciepłą, bieżącą wodą, a następnie zanurz je w stworzonej wcześniej mieszance
- Umyj zęby, a następnie wypluj pozostałości z buzi
- Teraz czas na wypłukanie jamy ustnej. W tym celu wymieszaj 1/2 filiżanki wody utlenionej z 1/2 szklanki ciepłej wody i płucz tą mieszaniną buzię przez około minutę czasu
- W celu usunięcia jak największej ilości kamienia nazębnego wykorzystaj wykałaczki, aby usunąć jego nadmiar z trudno dostępnych miejsc, a na końcu przepłucz usta zimną wodą
Komentarze